![]() |
| A sagittal T1-weighted image demonstrates a large os trigonum (asterisk). T2-weighted imaging (not shown) demonstrated mild edema and cyst formation within the adjacent talus. |
![]() |
| Sag T1-weighted sequence demonstrates a prominent Stieda's process (asterisk) (which showed mild edema on a T2-weighted sequence) and a small dorsal tibial osteophyte (arrow). |
![]() |
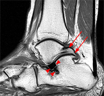
| A sagittal T1-weighted image demonstrates prominent osteophyte formation at the posterolateral aspect of the talus and the corresponding calcaneus (arrows). A low signal intensity spacer (arrowheads) is noted in the subtalar joint. Reference |







No comments:
Post a Comment